close
预约产品演示
请完善以下信息,我们将联系您进行演示
*
*
我已阅读并同意《隐私政策》
close
预约数据分析
请完善以下信息,我们将联系您进行沟通
*
*
我已阅读并同意《隐私政策》
close
联系我们
请完善以下信息,我们将尽快与您取得联系
*
*
我已阅读并同意《隐私政策》

第1期 双样本t检验的差异方向与ROI信号提取结果不一致

发布:2026-04-14    浏览:277 次

脑影像数据分析涉及细节繁多、琐碎问题多,短时间内难以彻底掌握。基于脑海科技多年的服务经验,我们深感有必要系统梳理相关问题。为了更好地服务广大研究者,我们将把科研中合作者以及研究生提出的真实问题,以“一问一答”的形式整理出来,定期分享。希望能为您的研究提供一点参考。


本期问题


对健康对照和病人两组被试的zfALFF进行双样本t检验,可视化后发现某个差异脑区上显著降低(冷色),但ROI信号提取后发现病人组的值反而高于健康对照组。请问如何解释?

问题解析


在脑疾病研究中,我们需要非常明确统计的方向:哪个脑区的活动是病人组高于正常人组,哪个脑区的活动是病人组低于正常人组。通常,软件都会提供相应的帮助文档。

以DPABI和RESTplus为例,两款软件进行双样本t检验时,默认的计算顺序均为 Group1 - Group2。在实际操作中,约定俗成将病人组作为Group1,正常人组作为Group2。作图时需注意调整color bar(一般输入12或10均可)。调整后:

1)暖色调代表该脑区的脑活动:病人组 > 正常人组

2)冷色调代表该脑区的脑活动:病人组 < 正常人组

回答


01

统计模型与输入顺序


问题中的统计分析为独立双样本t检验,即对健康对照组和病人组的zfALFF指标进行逐体素比较,以探究两组是否存在差异。在DPABI或RESTplus中,默认计算为Group1 - Group2(先录入的为Group1,后录入的为Group2)。通常惯例是将病人组作为Group1,健康对照组作为Group2。
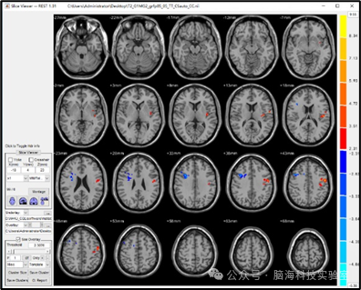
此时,t值为正,表示该区域病人组的脑活动大于正常人组;t值为负,则表示病人组的脑活动小于正常人组。因此,在判断某个差异脑区是否显著降低时,应优先观察该脑区峰值(peak点)t值的正负。如下图RESTplus截图所示:

图片


02

可视化与color bar设置


可视化时,通常根据t值的正负与大小设置颜色:

t值为正(升高)→ 暖色

t值为负(降低)→ 冷色
随着t绝对值增大,颜色逐渐加深(或变亮)。
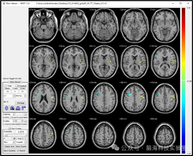
可通过Misc → Set Overlay‘s Color bar调整配色方案,效果相同。

图片


图片


图片

两种不同的颜色条显示可视化,左(jet)右(12).

03

ROI信号提取的两种常见方法


方法一:以差异脑区peak点坐标为中心,画半径为6mm的小球(约33个体素)作为ROI提取信号。此时需注意小球范围是否超出显著差异脑区,以及非peak点区域的t值正负。

方法二:将整个差异脑区制作成mask作为ROI提取信号,但可能包含更多体素,且内部t值正负可能不一致。

04

问题中矛盾现象的可能原因


组间差异的显著性是基于peak点(单个或少数体素)的t值正负来判断的,而ROI信号提取的是该区域内多个体素的均值。
如果ROI内同时包含t值为正和负的体素,或者小球范围超出了差异脑区,就可能导致整体均值方向与peak点方向不一致。

总   结

1)先检查独立双样本t检验的组别输入,以及得到的差异脑区t值,判断该差异脑区是否是病人组低于健康对照组的;

2)确认提信号的范围是否都在差异脑区内,并且t值正负是否一致。

欢迎关注脑海科技云平台。平台提供从原始数据到统计结果的全流程自动化处理,以及项目管理、质量控制、团队协作等一站式服务,为多中心、大样本研究提供坚实的数据基础,助力您的科研工作高效推进。

————

END

————

扫描下方二维码/点击链接,预约平台演示!扫码添加顾问,备注“平台演示预约”

19906719439(微信同号)

图片

上一篇:没有了!
下一篇:第2期 BrainNet viewer脑图绘制