close
预约产品演示
请完善以下信息,我们将联系您进行演示
*
*
我已阅读并同意《隐私政策》
close
预约数据分析
请完善以下信息,我们将联系您进行沟通
*
*
我已阅读并同意《隐私政策》

往期精彩|帕金森合集 | 以往高分文献分析,揭示帕金森研究热点

发布:2026-04-20    浏览:4 次

1、Transl Neurodegener. :长期太极训练改善帕金森病患者运动症状的机制

图片

本文探讨了长期太极拳训练对帕金森病(PD)患者运动症状改善的机制,通过一项随机对照试验,将95名早期PD患者分为太极拳组、快走组和对照组,经一年干预后发现,太极拳组在Berg平衡量表(BBS)、统一PD评定量表(UPDRS)、步宽及步速等指标上显著优于对照组,且在BBS改善上优于快走组。机制研究表明,太极拳通过增强视觉网络(VN)和默认模式网络(DMN)功能,降低炎症因子(如IL-1β),调节氨基酸代谢(如精氨酸合成)、能量代谢(三羧酸循环、尿素循环)及神经递质(腺苷)代谢,同时提升Huntingtin交互蛋白2HIP2mRNA水平,从而改善运动功能并降低多巴胺能退化风险。研究还指出太极拳可能具有疾病修饰作用,但其局限性在于样本量较小且脱落率较高,未来需扩大队列进一步验证。

图片

2组间运动症状的变化及相关fMRI变化。

参考文献

Li G, Huang P, Cui SS, et al. Mechanisms of motor symptom improvement by long-term Tai Chi training in Parkinson's disease patients.Transl Neurodegener. 2022;11(1):6. doi:10.1186/s40035-022-00280-7.

2Neurology:新诊断帕金森病患者早期fMRI连接改变与不同认知表型的相关性

图片

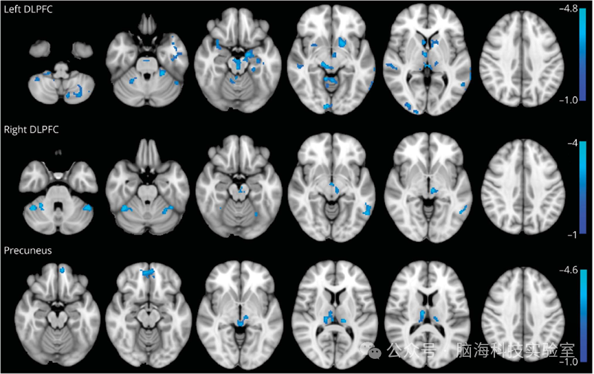
根据双重综合征假说,患有视觉空间障碍的帕金森病(PD)患者比主要表现为执行功能障碍综合征的患者更有可能进展为痴呆。研究的目标是调查在认知功能正常的初诊帕金森病患者中,背外侧前额叶皮层(DLPFC)和楔前叶(PCun的早期功能连接变化是否能够识别出不同的认知表型。DLPFCPCun分别对前额叶执行功能和视觉空间功能至关重要。

研究从意大利的运动障碍诊所连续纳入了临床发病时间不超过2年的新诊断、未经药物治疗的帕金森病患者,其蒙特利尔认知评估量表(MoCA)评分正常。同时,在非血缘关系的患者亲属中纳入了性别和年龄匹配的健康对照组(HCs)。参与者在基线(T0)时接受了3T-fMRI检查,以基于种子点的方法研究DLPFCPCun的静息态功能连接(rs-FC)。研究对帕金森病患者的rs-FC值的z分数进行了K均值聚类分析,以识别具有共同连接模式的患者群体。在T03.5年随访(T1)时,研究评估了不同帕金森病聚类群体之间的神经生理学、运动和非运动量表的差异。

该研究在T0时纳入了68名帕金森病患者(27%为女性;平均年龄60±9岁;Hoehn & Yahr评分1.4±0.5MoCA评分27.9±1.6)和31名健康对照组(39%为女性;平均年龄64.2±9.3岁)。42名患者完成了T1的评估。与健康对照组相比,患者在多个皮层和皮层下区域的DLPFCPCunrs-FC均降低。聚类1在所有研究的兴趣区域的rs-FC值均较低,而聚类23rs-FC值分别较高和中等。尽管在T0时没有任何患者符合轻度认知障碍(MCI)的标准,但聚类1的患者年龄更大,在整体认知、前额叶执行功能和记忆领域的表现均低于聚类23(所有p<0.031)。T1时,与聚类2相比,聚类13在整体认知、前额叶执行功能和视觉空间领域的恶化更为明显,并且非运动和运动症状也更为严重(所有p<0.04),且聚类13MCI的发生更为频繁。

在没有轻度认知障碍的初诊帕金森病患者中,DLPFCPCun的早期功能连接变化确实存在,并且可以区分不同的认知表型,这一点在纵向临床观察中得到了证实。

图片

1帕金森病患者和健康对照组在所选ROI中静息状态功能连接的群体差异图

参考文献

De Bartolo MI, Ojha A, Leodori G, Piervincenzi C, Vivacqua G, Pietracupa S, Costanzo M, D'Antonio F, Barbetti S, Margiotta R, Bruno G, Conte A, Berardelli A, Fabbrini G, Pantano P, Belvisi D. Association of Early fMRI Connectivity Alterations With Different Cognitive Phenotypes in Patients With Newly Diagnosed Parkinson Disease. Neurology. 2025 Jan 14;104(1):e210192. doi: 10.1212/WNL.0000000000210192. Epub 2024 Dec 19. PMID: 39700449.

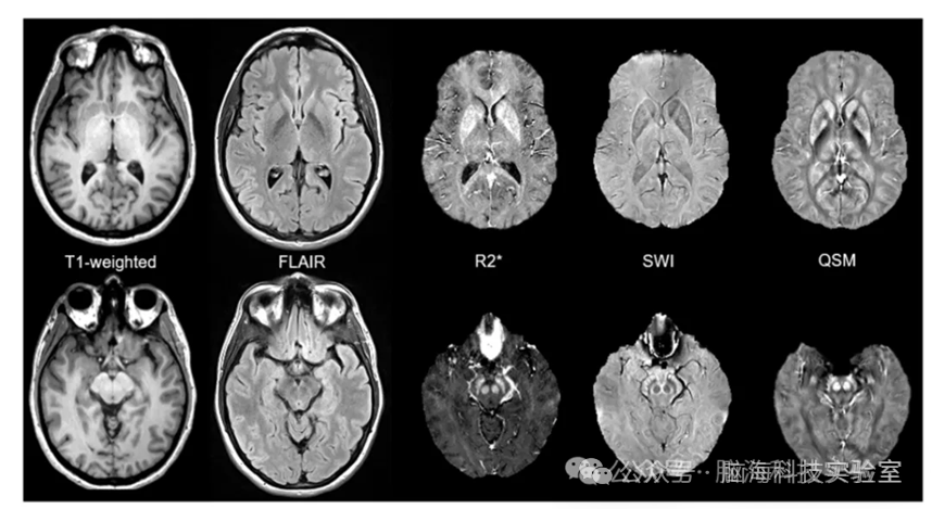
3NeuroImage:帕金森病的定量磁敏感成像研究

图片

该文综述了定量磁敏感成像(QSM)在帕金森病(PD)中的应用。帕金森病是一种常见的神经退行性疾病,其发病机制尚未完全明确,但铁代谢紊乱与脑内特定区域的铁积累被认为与疾病进展密切相关。QSM作为一种新兴的MRI技术,能够非侵入性地量化脑内铁含量,为研究铁在PD病理中的作用提供了重要手段。文章详细介绍了铁在帕金森病中的作用机制,包括铁在黑质中的积累以及其与α-突触核蛋白聚集的关系,并探讨了铁催化的氧化应激反应(如铁死亡)对神经退行性的影响。此外,文章还回顾了多种铁敏感的MRI技术,特别是QSMPD诊断和疾病监测中的潜力。尽管QSM在过去十年中取得了显著进展,但仍面临一些挑战,如图像伪影、组织几何依赖性等。未来需要开展多中心研究,以开发出更稳健、可解释且具有疾病特异性的生物标志物,用于监测PD的疾病进展。

图片

黑质铁与帕金森病图

图片

易感性敏感对比度图

参考文献:

Guan X, Lancione M, Ayton S, et al. Neuroimaging of parkinsons disease by quantitative susceptibility mapping. Neuroimage 2024;289:120547.

4基于DTI结构连接性预测新发帕金森病轻度认知障碍

图片

本研究旨在通过机器学习方法,利用新发帕金森病(PD)患者的基线白质结构连接性特征(来自弥散张量成像,DTI)和临床数据,预测患者未来向帕金森病轻度认知障碍(PD-MCI)的转化。研究纳入了90名新发PD患者,通过弹性网特征共识排名(ENFCR)方法筛选出重要的临床和结构连接性特征,并使用线性判别分析(LDA)、支持向量机(SVM)、K最近邻(KNN)和朴素贝叶斯(NB四种分类器构建预测模型。结果显示,基于结构连接性特征的模型表现良好(AUC范围:0.81–0.84;准确率范围:0.75–0.86),与结合临床数据和结构连接性数据的模型表现相似。研究还发现,额叶、顶叶、枕叶、颞叶、岛叶及皮质下核团之间的结构连接性是预测PD-MCI转化的重要特征。尽管研究在样本量和外部验证方面存在局限性,但其结果为早期识别帕金森病患者中高风险发展为认知障碍的个体提供了新的视角,并为未来的干预研究提供了潜在的生物标志物。

参考文献:

Huang X, He Q, Ruan X, et al. Structural connectivity from DTI to predict mild cognitive impairment in de novo Parkinsons disease. NeuroImage Clin 2024;41:103548; doi: 10.1016/j.nicl.2023.103548.

5脑动力学复杂性作为帕金森病患者认知能力下降的标志

图片

2024年,Movement DisordersIF=7.4)发表了一篇题为“Brain Dynamics Complexity as a Signature of Cognitive Decline in Parkinson's Disease”的文章。该研究旨在比较FDfALFF两种方法,并通过机器学习(machine learningML)模型来识别哪种方法能更好地区分帕金森病患者不同的认知状态,认知状态包括正常认知(normal cognition , PD-NC)、轻度认知障碍(mild cognitive impairment , PD-MCI)到痴呆(dementia , PDD),并探索fALFFFD与帕金森病患者的临床和认知特征之间的相关性。

研究使用fALFFFD两种方法区分帕金森病患者不同的认知状态,并使用ML对两种方法进行评估,得出如下结论:(1CEN(中央执行网络)和DMN(默认模式网络)的神经元动态复杂性(FD指标)增加,自发脑活动(fALFF指标)减少。更高的复杂性可能反映了大脑网络功能专门化,即局部隔离,这与帕金森病的认知衰退密切相关。(2)位于双侧前扣带回皮层(ACC),作为DMN一部分的IC45中神经动态复杂性增加,且与记忆领域中较差的认知表现和疾病的严重程度(HY)强烈相关。ACC的复杂性变化可能能够作为帕金森病认知衰退的预测指标。(3)帕金森病患者在SMN中的脑动态复杂性增加可能与疾病的“断开综合征”特征有关,并且这种复杂性的变化可能与帕金森病患者的认知和运动功能衰退相关。(4)帕金森病患者在AN中的脑动态变化可能与疾病的进展和认知功能下降有关。(5)尽管fALFF是一个有效的度量,但研究中FD显示出更高的敏感性,能够更好地捕捉与帕金森病认知严重性相关的大脑动态变化。

图片

对于ML模型区分PD认知状态更为重要的成对独立成分之间的马氏距离

注:线条的白色表示独立成分对之间的相似性强,红线表示相关性弱,颜色的强度表示相似性的强度

参考文献:

Fiorenzato, E., Moaveninejad, S., Weis, L., Biundo, R., Antonini, A., & Porcaro, C. (2024). Brain Dynamics Complexity as a Signature of Cognitive Decline in Parkinson's Disease. Movement Disorders, 39(2), 305-317.

上一篇:Nature子刊:新发现!AI模型能够在几秒钟内读取大脑核磁共振成像,准确率高达97.5%
下一篇:脊髓小脑共济失调3型患者静态与动态自发脑活动模式的改变